Powell Skateboards und Vans Shoes Legende Steve Caballero liegt seit 24 Stunden in einem Krankenhaus in Kalifornien!
Mit 54 Jahren sollte man eigentlich erwarten, dass Cab es etwas ruhiger im Leben angeht, aber denkste. Er brach sich vor einem Tag den Oberschenkel! Den Knochenbruch zog er sich nicht etwa beim Pool – Bowl Skaten zu, sondern beim Motorcross.
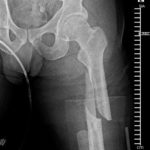
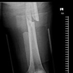
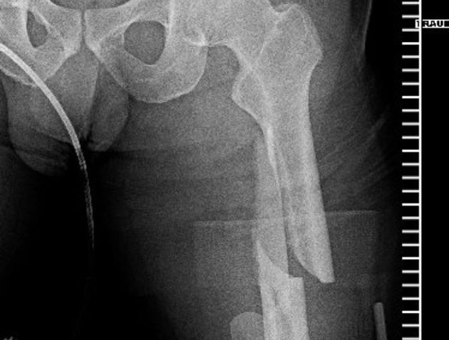
Vor ein paar Stunden wurde Steve deswegen im Palomar Medical Center Escondido operiert. Wie er selber berichtet, ist bei der OP an seinem Spiralbruch, linker Oberschenkel, alles perfekt abgelaufen.
An den Fotos unten kann man gut erkennen, dass der Knochen nun durch ein Titanstück und zwei Schrauben zusammengehalten wird. Den Moment des Sturzes hat Caballero auf Instagram hochgeladen. Den Clip findet ihr unter den Fotos.
Vor genau einem Monat holte sich Steve noch beim 5th Annual Vans Pool Party 2019 den dritten Platz unter den Legends.
Get Well Soon Cab!
Sieh dir diesen Beitrag auf Instagram an


















